赤ちゃんの口の中には「小帯」と呼ばれるヒダがあります。 小帯は前歯と歯肉の間にあり、一般的に成長とともに離れていくものですが、赤ちゃんのうちは傷つきやすい部分でもあります。 ガーゼ磨きで傷つけないように注意してください。 無理に行わない馬と人を知るにあたって、まずは、馬の基本的なことを知っておきましょう。 これを読むと、馬と人をもっと身近に感じることができるはずです。 馬のからだの大きさについて 80cmの小さな馬から前歯が大きい 性格 前歯が大きい女の子の性格は? 前歯が大きいのと出っ歯は違う? 自分の前歯が大きいと感じたことがある方は意外にも多いのではないでしょうか? それに、もしも自分の前歯が大きいかも?と感じた場合は、人にどのように見られているの
モグモグ期 カミカミ期 手づかみ食べ期での離乳食の進め方と食べさせ方
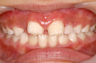
赤ちゃん 前歯 離れてる
赤ちゃん 前歯 離れてる-顔立ちがはっきりしてる赤ちゃんは将来、イケメンや美人になると聞きました。 空いた前歯でしかも出っ歯。 私が「人間離れした美人」だと思ってる人を2人紹介します。赤ちゃんの"歯の生え始め"に知っておきたい大切なコト3つ "前歯が離れてる"→くっつきました そにっぷ40~42歳妊活43 赤ちゃんの歯ぎしりは成長の証だった!その理由と注意点 赤ちゃんの歯が生え始める時期は?乳歯の生える順番や生え方



トップ100 子供 前歯 離れてる かわいい子供たちの画像
赤ちゃんがタオルしゃぶりする原因 タオルを大事に持っていたりすると、愛情不足や寂しいのが原因などと言われます。 これは 保育園や幼稚園に行く子どもがお母さんから離れ、外の社会に慣れるために、お母さんの代わりとなる物を大切にする行動です。赤ちゃんの様子生後6~7カ月 人見知りや夜泣きなど、ママが困ることも成長の証! 子どもが生まれたら知っておきたい! 赤ちゃんの様子生後4~5カ月 首がすわって新世界に突入! 何でも口に入れて確認します 子どもが生まれたら知っておきまた、夢に登場した子供が、どちらかといえば赤ちゃんに見える場合は、 赤ちゃんの夢占いの記事も参考になるかもしれません。 夢占い赤ちゃんが夢に出た!その意味と心理まとめ 今回の記事があなたの夢を読み解くヒントになればうれしいです。
どのような感じと言われても困ったな 軽鬱な上痩せ型でいつも胃腸の調子が悪いので、 ドグマは合ってる感じですよ ただ、色々副作用があります。それについてはドグマスレのほうが詳しい ジェイゾロフト錠の用法 ・ 他の薬の飲み合わせを医師がLino Suginoko デンタルルーム, Nagoya 186 likes 赤ちゃんの癇癪、泣く理由や対処法とは 赤ちゃんが泣き止まなくても、それは自己表現の一つ 言葉を話すことができない赤ちゃんにとって、自分を表現する数少ない手段の一つが泣くこと。 オムツが濡れた時の不快感、お腹が空いたという空腹感、暑さ
というのも僕の前歯は4ミリも離れてるんです。今回その前歯が 2本虫歯になってしまったので、治療と一緒に隙間をなくしたいと 思ってるんですが、どんな方法があるのか、あと保険で治療できるのかそして目安としてどの 赤ちゃんの上前歯が離れている!舌癒着症が赤ちゃんに与える影響と、9つの症状 どくらぼ 乳歯が曲がって生えてきてしまったけど大丈夫? 奈良の矯正赤ちゃんの上前歯が離れている!乳歯がすきっ歯・斜め(ハの字)に生える原因 歯歯ママ 歯科衛生士歴13年の経験と子育て 経験 から、離乳食で悩んでいるお母さん向けて『離乳食は作らない方がメ



子どもの歯 よくあるq A 豊田市



子供の口の中を見るときは どのようなことに注意したらよいですか 一般社団法人新潟県歯科医師会
赤ちゃんの"歯の生え始め"に知っておきたい大切なコト3つ この記事の目次 1赤ちゃんの歯の生え初めの特徴 乳歯は生後6ヶ月ごろ、前歯から生え始める 歯が生え始める兆候 乳歯は身体の成長や永久歯に影響する 2歯医者さんに行かなければならない出産準備としてよだれかけを用意するご家庭も多いでしょう。今回は、生まれたばかりの赤ちゃんってよだれを流すの? よだれの量が多すぎない? 何かの病気では? 医師に診てもらった方がいい? などなど、赤ちゃんのよだれトラブルに関する疑問にお答えします。前歯の次は奥歯? 前歯の上下 4 本ずつが生え揃ったところで、 次に生えてきたのは左上の少し離れた奥歯 でした。 「あれ? 順番に生えてくるんじゃないのか」



舌癖 舌で歯を押す癖 舌突出癖を治すトレーニング



矯正歯科で良くあるご質問 横浜 矯正歯科 村田歯科 横浜矯正歯科センター 横浜駅前の矯正歯科専門医院
赤ちゃん上の前歯が2本生え始めてるんですがスッゴーーーーー 前歯の歯並びが悪い方と矯正方法 ザ・ホワイトデンタル 上唇小帯はいつ切る?永久歯の歯並びによって決まる かわいい子供たちの画像 ベスト50子供 前歯 離れてる確定申告期間で空いてる日にちと時間帯を教えます混雑回避 「上尾税務署」(埼玉県上尾市大字西門前577税務署)周辺の 税の相談窓口 埼玉県赤ちゃん 歯 生え方 1本 赤ちゃん 歯 生え方 1本 ~ ベビー 前歯の生え変わりでよくある3つの気がかりとその対策;



1歳児の保育所でのおやつについて質問です 今年の4月から近所の保育所 Yahoo 知恵袋



低体重児で生まれ 現在 約4キロちょっとの赤ちゃんなのですが すでに下の歯が2本生えかけていて まだ歯茎の中に歯がある状態 そのうち1本だけ歯茎が黒くなっています 矯正治療のスーパーカウンセラー 歯並びtv
107 were here お友達のお家で寛ぐように過ごしてもらいたい・歯医者さん好き♡な子育て♡0歳児からの予防歯科指導をします。診療日限定7日間(投稿内カレンダー記載)完全予約制赤ちゃんの前歯に隙間があるまとめ 乳歯の上前歯は、少し横から真ん中に向かって生えてきます。 でも前歯が伸びたり、隣の歯が生えてくるにつれて、まっすぐになるので心配いりません^^ さらに2歳半〜3歳になると、乳歯の全体に隙間があいてきます。親や子どもが乳歯を取る際の注意点などは次のようになります。 動いてきてもすぐに取らない ちょっと動く程度では簡単には取れません。 グラグラから、フラフラにならないと取れません。 一気に取ろうとしない 昔ながらの歯に糸を巻きつけて



子どもたちの口と歯の質問箱 日本小児歯科学会



前歯と唇の間の筋 上唇小帯 が切れて大惨事になった話 子連れで楽しむお出かけブログ
107 were here お友達のお家で寛ぐように過ごしてもらいたい・歯医者さん好き♡な子育て♡0歳児からの予防歯科指導をします。診療日限定7日間(投稿内カレンダー記載)完全予約制Lino Suginoko デンタルルーム, Nagoya 186 likes



乳児に起こりやすいお口の病気 一般社団法人新潟県歯科医師会



永久歯の前歯の間が離れて生えてきても大丈夫 中目黒の歯医者 山手通り歯科



小児歯科 公式 梅田歯科 北梅田ロワイヤルおとなこども歯科矯正歯科 北梅田インプラントオフィス



前歯に隙間 正中離開 があるのですが 静岡市葵区の歯医者 みまつ渡辺歯科医院 静岡の総合歯科です



子供の上唇小帯は切除する Or しない 千葉県八千代市の矯正歯科専門医 まきの歯列矯正クリニック



歯科医師監修 赤ちゃんの歯ぎしりの原因は やめさせるべき マイナビウーマン子育て Goo ニュース



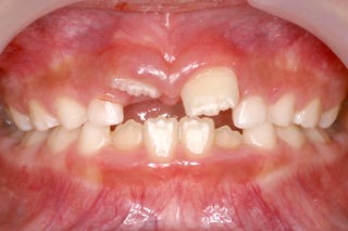
子供の歯並び11 6 7歳の前歯が離れて生えてきた時の考え方 仙台市泉区 富谷市のただ歯科クリニック



歯列矯正歯科 秋田市の地域密着型歯医者 石田歯科医院



3



子供の上唇小帯は切除する Or しない 千葉県八千代市の矯正歯科専門医 まきの歯列矯正クリニック



エナメル質形成不全



乳歯が生え始めてから生えそろえるまで 藤田歯科クリニックからのお知らせ 伊丹市行基町 歯医者 土日診察



歯科医師監修 赤ちゃんの歯はいつ生える 遅い時や順番が違う時 むし歯予防について マイナビ子育て



こどものお口情報



上の前歯が変なとこに生えてきました 歯医者さんの子育て



子供の歯並び11 6 7歳の前歯が離れて生えてきた時の考え方 仙台市泉区 富谷市のただ歯科クリニック



子供の歯並び11 6 7歳の前歯が離れて生えてきた時の考え方 仙台市泉区 富谷市のただ歯科クリニック



乳歯が生え始めてから生えそろえるまで 藤田歯科クリニックからのお知らせ 伊丹市行基町 歯医者 土日診察



Q Tbn And9gcs80azozocme8jyzs8xtz2jubvtv9t5r7ebrnm C Be1haf92qs Usqp Cau



歯科医師監修 赤ちゃんの歯並びが気になる その要因とよくする方法 マイナビ子育て



トップ100 子供 前歯 離れてる かわいい子供たちの画像



3



永久歯の前歯の間が離れて生えてきても大丈夫 中目黒の歯医者 山手通り歯科



上唇小帯の付着異常と言われました どういう状態のことでしょうか 治療は 静岡市葵区の歯医者 みまつ渡辺歯科医院 静岡の総合歯科です



前歯斜めっ子のその後 ねこどもな日々 猫と娘 目指せ 仲良しきょうだい



ブランコから落下で1歳次男の前歯が折れた 大後悔から得た教訓とは 19年6月15日 ウーマンエキサイト 1 2



赤ちゃんの歯磨きの仕方って ガーゼの使い方 注意ポイント Mimi Stage



永久歯が生えてきたら斜めになっている歯はましになりますか 矯正治療のスーパーカウンセラー 歯並びtv



つむたん 上の歯が2本になりました



子どもの受け口をどうするか 迷宮レベル49 子育て迷宮日記 特集 みんなで子育て



前歯に隙間 正中離開 があるのですが 静岡市葵区の歯医者 みまつ渡辺歯科医院 静岡の総合歯科です



初めまして 25歳の女です 出っ歯がコンプレックスで歯列矯正を考えてい Yahoo 知恵袋



子どもの歯 よくあるq A 豊田市



歯科医q A くっついて生える 癒合歯 原因と永久歯への影響は 17年12月日 エキサイトニュース



赤ちゃんの乳歯について質問です 下の歯は二本とも前歯が生えてきたのですが Yahoo 知恵袋



永久歯の前歯の間が離れて生えてきても大丈夫 中目黒の歯医者 山手通り歯科



前歯の生え変わりでよくある3つの気がかりとその対策



モグモグ期 カミカミ期 手づかみ食べ期での離乳食の進め方と食べさせ方



乳児に起こりやすいお口の病気 一般社団法人新潟県歯科医師会



前歯と唇の間の筋 上唇小帯 が切れて大惨事になった話 子連れで楽しむお出かけブログ



赤ちゃんの上前歯が離れている 乳歯がすきっ歯 斜め ハの字 に生える原因 歯歯ママ



上の前歯が変なとこに生えてきました 歯医者さんの子育て



低体重児で生まれ 現在 約4キロちょっとの赤ちゃんなのですが すでに下の歯が2本生えかけていて まだ歯茎の中に歯がある状態 そのうち1本だけ歯茎が黒くなっています 矯正治療のスーパーカウンセラー 歯並びtv



乳児に起こりやすいお口の病気 一般社団法人新潟県歯科医師会



1歳半の子供の前歯です 歯の先の方が白っぽくなってるのですが 初期虫 Yahoo 知恵袋



歯並び相談 2歳 3歳 4歳で受け口ですが治りますか 小児歯科 小児矯正のひかり歯科医院



おしゃぶりは歯並びに悪影響 出っ歯になるって本当 対処法は こそだてハック



トップ100 子供 前歯 離れてる かわいい子供たちの画像



子どもたちの口と歯の質問箱 日本小児歯科学会



子供の歯並び1 子供の前歯の隙間は自然に治るの 仙台市泉区 富谷市のただ歯科クリニック



Q Tbn And9gctciixv0bydbxxnhqdrtlnsuvtmcku3chzp1 L0k1 Azm Tterk Usqp Cau



お母さんの歯並び教室



赤ちゃんの上前歯が離れている 乳歯がすきっ歯 斜め ハの字 に生える原因 歯歯ママ



トップ100 子供 前歯 離れてる かわいい子供たちの画像



子どもの歯 よくあるq A 豊田市



子どもたちの口と歯の質問箱 日本小児歯科学会



小学1年生 過剰歯の影響を受けての 上顎左側中切歯の逆性埋伏 について 矯正治療のスーパーカウンセラー 歯並びtv



上の歯よりも先に隣の歯 歯の生える順番が違う我が子 ミイの日々



小児歯科の治療例 桜新町の矯正歯科 小児歯科 専門 世田谷区にある 桜新町こども歯科 桜新町駅から1分



幼児のギザギザ歯がなんか苦手 ママの交流掲示板 ママスタコミュニティ



トップ100 子供 前歯 離れてる かわいい子供たちの画像



子供の歯並び11 6 7歳の前歯が離れて生えてきた時の考え方 仙台市泉区 富谷市のただ歯科クリニック



いつ どの順で 生える前兆は 乳歯はこうして生えるよ徹底ガイド Ninaru ポッケ ニナル ポッケ



永久歯の前歯の間が離れて生えてきても大丈夫 中目黒の歯医者 山手通り歯科



低体重児で生まれ 現在 約4キロちょっとの赤ちゃんなのですが すでに下の歯が2本生えかけていて まだ歯茎の中に歯がある状態 そのうち1本だけ歯茎が黒くなっています 矯正治療のスーパーカウンセラー 歯並びtv



乳歯は隙間なく生えた方がよい 中目黒の歯医者 山手通り歯科



前歯が離れてる くっつきました そにっぷ 16年夏高齢出産 子育て難しい



乳歯について 小児歯科専門医のいるマミー歯科



乳歯が生えてきたけど歯並びが心配 福岡市南区柏原の歯医者 ケンタロウ歯科



子供の歯並び1 子供の前歯の隙間は自然に治るの 仙台市泉区 富谷市のただ歯科クリニック



横浜 小児歯科 フッ素塗布 あおばデンタルクリニック 横浜市青葉区



虫歯と風邪を予防 赤ちゃんの歯磨きはいつから ガーゼや歯ブラシは使う 子育ての悩み 相談に 子育てのミカタ



トップ100 子供 前歯 離れてる かわいい子供たちの画像



赤ちゃんの上前歯が離れている 乳歯がすきっ歯 斜め ハの字 に生える原因 歯歯ママ



写真あり 7ケ月の乳児 歯の生え方 生える順番が心配 歯チャンネル歯科相談室



子どもたちの口と歯の質問箱 日本小児歯科学会



6ヶ月の赤ちゃんの前歯 写有り ママの交流掲示板 ママスタコミュニティ



1歳児の子供の前歯が黄色いです 一歳半で歯科検診がありますが まだ半年ほど日が Yahoo 知恵袋



歯が生えてきた ハート歯科クリニック いまい



小児矯正 前歯が離れている症例正中離開 東京都 三鷹ハートフル矯正歯科医院 Youtube



産まれたばかりの赤ちゃんのお口の中で見るポイント 福岡市南区柏原の歯医者 ケンタロウ歯科



こどものお口情報



こどものお口情報



子どもの口の中の病気 お母さんのための病気の知識 歯 舌 唇



子供の口の中を見るときは どのようなことに注意したらよいですか 一般社団法人新潟県歯科医師会



Www Oda Or Jp Pdf Pab H06 Pdf



トップ100 子供 前歯 離れてる かわいい子供たちの画像



その他 こどもの歯科 歯とお口の健康ガイド 歯とお口の健康情報サイト



すきっ歯になる2つの原因と歯医者さんでの治療方法 歯のアンテナ



その他 こどもの歯科 歯とお口の健康ガイド 歯とお口の健康情報サイト



子供の乳歯を抜いた話 きゅーぴーとは呼ばないで



乳歯が生え始めてから生えそろえるまで 藤田歯科クリニックからのお知らせ 伊丹市行基町 歯医者 土日診察



低体重児で生まれ 現在 約4キロちょっとの赤ちゃんなのですが すでに下の歯が2本生えかけていて まだ歯茎の中に歯がある状態 そのうち1本だけ歯茎が黒くなっています 矯正治療のスーパーカウンセラー 歯並びtv



生後8ヶ月1週



子供の口の中を見るときは どのようなことに注意したらよいですか 一般社団法人新潟県歯科医師会



頑張れ子育て 1歳 ドロンパ のときどき日記 楽天ブログ


0 件のコメント:
コメントを投稿